HERPANGINA
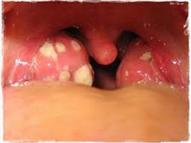
- La herpangina es una infección causada por un virus. Ocasiona pequeños puntos rojos que aparecen en la parte posterior de la boca. Esos puntos se transforman luego en pequeños sacos llenos de líquido (ampollas), que se revientan rápidamente y dejan pequeñas úlceras o llagas. Las úlceras son muy pequeñas, de 2 a 4 milímetros de ancho. Pueden ser muy dolorosas y hacer que su niño rechace la comida y el agua.
- La enfermedad mano-pie-boca causa los mismos puntos y úlceras en la boca que la herpangina. También produce puntos en las manos y los pies. Estos puntos pueden aparecer además en la zona del pañal.
- La herpangina y la enfermedad mano-pie-boca están causadas por el mismo virus. No existe un tratamiento contra este virus.
- Los puntos y las úlceras que aparecen con ambas enfermedades desaparecen por sí solos en un lapso de 10 días.
- El virus es frecuente en el verano y a comienzos del otoño. Se puede encontrar en la saliva y en las heces.
- El virus se propaga cuando un niño toca heces infectadas y se pone la mano en la boca. También puede propagarse a través de los pulmones al toser y estornudar.
- El virus puede sobrevivir sobre superficies y objetos, como mostradores o juguetes, el tiempo suficiente como para contagiar a otra persona.
Signos y síntomas
- Tanto la herpangina como la enfermedad mano-pie-boca pueden comenzar con fiebre, dolor de garganta y malestar general durante varios días antes de la aparición de los puntos en la boca. Los niños pueden no querer comer y ponerse muy irritables. Los niños mayores podrán quejarse de dolores de cabeza y de garganta, y de falta de energía.
Cuidados en casa
- Para la herpangina se indica un tratamiento de apoyo. Esto significa mantener al niño hidratado y tan cómodo como sea posible.
- Para aliviar el dolor los analgésicos que le recomiende su pediatra.
- Para prevenir la deshidratación, ofrézcale al niño pequeñas cantidades de líquido con frecuencia y alimentos frescos y suaves.
